Migrenli beyin 'önemsizi' ayıramıyor, ışık ve desenler ağrıyı tetikliyor
NÖROM yeni çalışmasına göre, migrenli bireylerin beyni, tekrarlayan görsel uyaranlara alışamıyor. Bu uyaranları sürekli olarak önemli kabul eden beyin, doğrudan ağrı mekanizmalarıyla bağlantı kuruyor.
Nörobilim ve Nöroteknoloji Mükemmeliyet Ortak Uygulama ve Araştırma Merkezi (NÖROM) bünyesinde yürütülen ve Ankara Üniversitesi araştırmacılarının katkı sunduğu çalışma, nörobilim alanının saygın dergilerinden The Journal of Headache and Pain’de yayımlandı.
NÖROM, migrenin yalnızca baş ağrısı ile sınırlı olmadığını, beyindeki görsel işlemleme ve ağrı mekanizmalarıyla yakından ilişkili olduğunu, Türkiye’de yürütülen nörogörüntüleme çalışmasıyla ortaya koydu.
Çalışmada, migrenli bireylerin tekrarlayan görsel uyaranlara karşı alışma (habitüasyon) geliştiremediği ve bu uyaranların beyin tarafından sürekli “önemli” olarak kodlandığı belirlendi.
Çalışma kapsamında 30’u migren hastası, 29’u sağlıklı olmak üzere toplam 59 kadın katılımcı incelendi. Katılımcıların atak döneminde olmamasına rağmen görsel uyaranlara karşı farklı beyin tepkileri verdiği tespit edildi.
“Migrenli beyin, normal beynin aksine tepkiyi giderek arttırıyor”
NÖROM Müdürü Prof. Dr. Hayrunnisa Bolay Belen, araştırma sonucu ortaya çıkan bulguların literatürde ilk kez ortaya konduğunu belirtti.
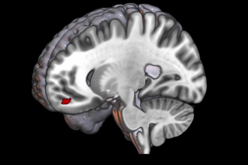
“Normal insan beyninde tekrarlayan uyarı geldiğinde beyin buna verdiği tepkiyi azaltıyor. Ama migrenli beyin aksine tepkiyi giderek arttırmaya başlıyor.” diyen Prof. Dr. Belen, bu artışın, görsel işlemenin yapıldığı beynin arka kısmında değil aksine beynin en ön kısmında bulunan ve üst düzey kontrol merkezi olan orbitofrontal bölgede gerçekleşmesinin son derece önemli olduğunu ifade etti. Belen, “Burası görmenin üst düzey kontrol merkezi ve aynı zamanda da gelen uyarıya zararlı, faydalı ya da duygusal bir değer biçen yer.” dedi.
Belen, bu çalışmayla, migrenli beyinde tekrarlayan uyaranların filtrelenemediğini ve doğrudan ağrı mekanizmalarıyla ilişkilendirildiğini ilk kez göstermiş olduklarını da şu şekilde aktardı:
“Sorun, tekrarlayan uyarıların gereksiz ya da önemsiz olan uyarıyı filtreleme sisteminde bir problem gibi görünüyor ve de ilk kez beynin ön kısmında da bununla ilgili bir yerin yer aldığını görüyoruz. Bunu biz kanıtladık.”
Çalışmanın deney aşamasında, migrenli ve migrensiz katılımcıların günlük hayatta karşılaştıkları sorunlara benzer görevler vererek MR cihazından bulgular elde ettiklerini dile getiren Belen şöyle devam etti:
“Gerçek hayattaki sorunları taklit edebilecek bir deney modeli geliştirdik. Hastaların çoğunun şikâyet ettiği konuları ele aldık. Kişiler araç kullanırken veya alışveriş merkezinde tavana kadar pek çok ürünün bulunduğu yerde bir şey seçmesi gerektiğinde çok rahatsız olduklarını dile getiriyorlar. Bu duyusal hassasiyet veya ağrıyı da tetikleyebiliyor. Bu durumu simüle edecek bir paradigma geliştirdik.”
Migren hastalarının yaşam kalitesi nasıl artırılabilir?
Belen, migren hastalarının yaşam kalitesinin artırılması konusunda şu önerilerde bulundu:
“Marketlerde ya da alışveriş merkezlerindeki ışıkların şiddeti biraz azaltılabilir. Buralardaki yatay çizgiler ya da çizgili olan ışıkların rahatsız ettiğini migrenli hastalar özellikle söylemekteler. Burada bir değişim başlatılabilir. Bunlar toplumun tamamının huzuru için önemli.”
Araştırmanın yürütücülerinden Ankara Üniversitesi Tıp Fakültesi Fizyoloji Anabilim Dalı Öğretim Üyesi Dr. Sertaç Üstün de migrenin duyusal işleme boyutuna dikkat çekerek, “Migren sadece bir baş ağrısı hastalığı olarak düşünülebiliyor ama migrende çeşitli görsel uyaranların rahatsızlık verdiği, farklı şekillerde algılandığı hastalar tarafından rapor ediliyor.” ifadelerini kullandı.
Doktora sonrası araştırmacı Dr. İlkem Güzel de “Alt düzey görsel işlemleme bölgelerinin doğrudan ağrı bölgesiyle ilişki halinde olduğunu tespit ettik. Bu tespit bize migren hastalarında ışıktan rahatsız olma durumunu açıklama fırsatı sundu.” dedi.
Araştırmada görev alan doktora öğrencisi Ceren Onlat da migren hastalarının süpermarket rafları, kalabalık ortamlar veya çizgili desenler gibi görsel uyaranlardan sıklıkla rahatsızlık duyduğunu ifade etti. Ceren Onlat, söz konusu uyaranların laboratuvar ortamında gerçek hayatla ilişkilendirilerek kullanıldığı ve araştırmanın ekolojik geçerliliğini artıracak bir deney tasarımı geliştirildiğini kaydetti.
- ankara
- MİGREN
- BEYİN
- NÖROM
- MİGRENLİ BİREYLERİN BEYNİ
- ANKARA ÜNİVERSİTESİ
- NÖROBİLİM VE NÖROTEKNOLOJİ MÜKEMMELİYET ORTAK UYGULAMA VE ARAŞTIRMA MERKEZİ